V남자 눈성형
티나지 않으면서
자연스럽고 시원한 남자 눈매
출혈, 염증, 감염, 멍, 그 외 기타 부작용이 있을 수 있습니다.
다른 항목 보기
V브이성형외과 남자성형과 관련된
모든 항목을 만나보세요.
남성의 니즈를
완벽히 이해하고
만족시키는
V브이 남자 눈성형
티나지 않으면서 자연스럽고 시원한
남자 눈매 만들기
눈성형 전담 의료진
V브이성형외과 눈성형 전담 의료진은
처음의 미용 수술들은 물론이고 쉽게 접근하기 힘든
고난이도 눈성형들에 대한
많은 경험과 노하우를 가지고 있습니다.
#남자 눈성형
전후영상
성형 정보는 딱딱하고 재미없다?
남자 눈성형 꿀팁!
V브이에서 쉽고 재미있게 알려드립니다!
- 인스타그램
- 틱톡
여성도 그러하듯 남성들도 개개인마다
원하는 눈 모양이 모두 다릅니다.
DIFFERENT
아주 미세하고
얇은 라인의 속쌍꺼풀
브이성형외과는 남성과 여성이 원하는
아름다움의 차이를 이해하고
환자와 충분한 상담을 통해 고객이 원하는
눈 모양을 정확히 파악하여 남자 눈성형을 진행합니다.
티나지 않게 눈매를 또렷히 잡아주어
느끼하고 부담스러운 인상이 아닌 자연스럽게
시원한 인상으로 변신할 수 있습니다.
어떤 어려운 케이스도 자신있는 브이성형외과의 눈성형 기술력으로
무쌍에 가까운 눈, 쌍꺼풀이 살짝 드러나는 눈 등
고객님이 원하는 눈 모양을 만들어 드립니다.
유형별 눈성형
무쌍라인 눈매교정
쌍꺼풀 라인이 거의 드러나지 않고
단순히 눈의 크기만
키우고 싶으신 경우
눈매교정을 통해 눈동자의
노출량을 늘려줄 수 있습니다.
속쌍라인 눈매교정
눈의 끝 라인에만 아주 얇게
쌍커풀 라인이 드러나
있는 듯 없는 듯 과하지 않고
자연스러운 느낌을 줍니다.
인라인 쌍커풀
쌍커풀 라인이 겉으로 보이지만
2mm 미만의 인라인 쌍꺼풀로
부담스럽지 않고 확실한
눈의 변화를 느낄 수 있습니다.
당신의 눈은
어떤 모습인가요?
AFTER
작은 눈CASE 1
눈동자 자체의 노출량을 늘려 또렷하고 시원한 이미지
필요하다면 트임성형을 통해 눈 가로 길이 확장까지 가능
AFTER
처진눈매CASE 2
어딘가 어둡고 우울해보이던 이미지를 시원하게 개선
보일듯 말듯 자연스러운 속쌍꺼풀
AFTER
다크서클CASE 3
다크서클의 원인을 정확히 파악하여 그에 맞는 치료법으로 진행
칙칙해 보이던 인상을 환하고 밝은 인상으로!
AFTER
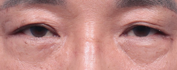
중년 남자 눈성형CASE 4
상안검, 하안검으로 처진 눈꺼풀, 불룩한 눈밑 동시 해결
필요한 경우 이마거상술과 병행하여 이마 주름까지 해결 가능
남자 눈성형은 왜
V브이성형외과일까요?
티나지 않는 라인
눈에 띄지 않는 흉터
V브이성형외과의 남자 눈성형은 흉터가
눈에 거의 띄지 않아 수술을 한 티가 거의 나지 않아
원래 내 눈인 것 같은 자연스러움이 핵심입니다.
#자연스러운 남자 눈성형
시원하고
또렷한 눈매
선만 슥 그어진 쌍꺼풀이 아니라
눈동자 노출량 자체를 늘려
확실한 눈매의 변화를 느낄 수 있습니다.
하고나면 잘생겨지는
남자 눈성형
BEFORE
AFTER
많은 경험과
노하우를 보유한
눈 성형 전담 의료진
당신의 눈 수술을 집도하는 의사가
눈성형만을 전담으로 하는 성형외과 전문의인지
반드시 확인하세요.
V브이성형외과의
눈성형 전담 의료진은
개인의 모양과 피부 등을 고려해
그에 맞는 수술법을 제시합니다.
오직 눈성형만을 전문적으로 시행하기 때문에
눈성형의 연구와 학술활동에 더욱 매진할수 있으며
집중적인 눈성형의 경험으로 실력과 결과에서 탁월합니다.
눈성형을 위한 최적의 의료진 선택은
V브이성형외과입니다.
김태모 원장님
정재민 원장님
V브이 수술 후 케어 제도
- 수술 후 책임제도
- 수술 후 관리를 어떻게 하느냐에 따라 수술 결과는 현저히 달라질 수 있습니다.
개개인에 맞는 애프터케어 시스템으로 빠른 회복을 도와드립니다.
- V애프터케어
- 멍 관리, 붓기관리 시술 및 수술 후 필요시
멍과 붓기 해소에 도움이 되는 관리 서비스를 제공합니다.

남자 눈성형과 함께하면 좋은 시술
남자 눈성형도 역시
V브이성형외과입니다.
여자와는 다른 남자 성형,
V브이성형외과만의 노하우로
만족스러운 결과로 보답드리겠습니다.


























