V눈 재수술
어려울수록 자신 있는 V눈성형 기술력
출혈, 염증, 감염, 멍, 그 외 기타 부작용이 있을 수 있습니다.
다른 항목 보기
V브이성형외과 재수술과 관련된
모든 항목을 만나보세요.
더 정확하고
더 정밀한 재수술
어려울수록 자신 있는
V브이성형외과 눈성형 기술력
신중해야 하는 눈 재수술
원인을 정확히 판단하여
그에 맞는 수술법을 선택해야 합니다.
눈성형 전담 의료진
V브이성형외과 눈성형 전담 의료진은
처음의 미용 수술들은 물론이고 쉽게 접근하기 힘든
고난이도 눈성형들에 대한
많은 경험과 노하우를 가지고 있습니다.
-
-
성형외과 전문의 | 눈성형
김태모
-
-
성형외과 전문의 ㅣ 눈성형
정재민
#눈 재수술
성형 정보는 딱딱하고 재미없다?
눈성형 꿀팁!
V브이에서 쉽고 재미있게 알려드립니다!
- 인스타그램
- 틱톡
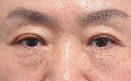
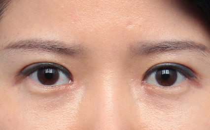
눈 재수술의 이유는
매우 다양합니다.
‘ 고정이 풀렸어요 ’
‘ 모양이 불만족스러워요 ’
‘ 눈이 졸려 보여요 ’
‘ 흉터가 사라지지 않아요 ’
하지만
전문 의료진의 정확한 판단 없이 재수술을 진행해서는 안됩니다.
같은 증상이라도 개인마다 그 정도가 모두 다르기 때문입니다.
단순해 보이는 눈 재수술도 눈 상태를 정확하게 진단하고 분석한 후
수술해야 두 번의 실패를 막을 수 있습니다.
V브이성형외과는
쉽게 접근하기 힘든 고난이도의 눈 재수술에 대한
많은 경험과 노하우를 가지고 있습니다.
눈성형만을 전담으로 하여 수술하는
눈 성형 전담 성형외과 전문의 의료진과
장기간 이루어진 시스템이 이를 가능케합니다.
20년 이상의 임상경험 차원이 다른 수술결과
눈 재수술은 이전 수술로 손상된 조직을 치료하고 불만족스러웠던 라인을
다시 잡아주는 복잡한 과정의 수술입니다.
따라서 해부학적 구조에 대한 이해와
다양한 사례의 재수술 경험을 갖고 있는 성형외과 전문의가
첫 수술의 실패 원인을 정확하게 분석한 후,
내 눈에 가장 적합한 수술법을 선택해 반복된 재수술을 예방합니다.
STEP 01
뒤트임 재건(복원) 성형
뒤트임을 하는 이유
눈이 커지고 싶은 혹은 눈꼬리를 내려
부드러운 눈매를 만들고 싶은 마음
뒤트임의 효과
쌍꺼풀(눈매교정)로 혹은 앞트임으로
눈이 커질 여지가 없거나 눈꼬리가 심하게 올라가있어
인상이 매서워 보이는 경우,
눈이 더 커지고 눈매가 부드러워질 수 있도록
눈 뒤쪽 흰자 위 여백을 넓게 만들어 인상을
부드럽고 시원하게 만들어 줍니다.
뒤트임시 부작용
· 눈 끝모양이 ‘ㄷ’자 모양으로 벌어지거나, 둥글어짐
· 빨간 점막이 노출되어 피를 흘리고 있는 모양처럼 보임
· 눈이 시리고 눈물이 새는 증상
부작용을 해소하기 위한
V브이성형외과만의 특별한 복원술
눈이 좀 작아져도 흉터를 완전히 제거할 지 아니면 흉이 좀 남더라도
길어진 효과를 최대한 유지할 건지 상의하여 결정합니다.
눈꺼풀이 안구과 밀착되어 있지 않는 경우 밀착되도록
확실한 외안각고정술로 진행합니다.
흉터 및 노출된 점막을 절제하고
주위 피부를 VY 전진술로 재건합니다.
3차원적으로 복원하여
본래 해부학적 구조에 가깝게 복원
KEY POINT!
뒤트임 복원술은 원래의 눈모습에 가깝도록
되돌리는 것이 포인트입니다
V브이성형외과의
뒤트임복원술의 효과
· 수술전 눈길이로 복원
· 부작용 증상 치료
· 복원술 후
뒤트임 재수술 가능
STEP 02
뒤트임 재수술
뒤트임 재수술을 하는 이유
· 뒤트임 수술 후 점차 수술부위의 살이 아물어 붙으면서 효과가 없어지는 경우
· 잘못된 수술방법으로 눈꺼풀 점막이 뒤집어져 속눈썹이 빠지는 경우
· 눈 끝모양이 이상해진 경우
뒤트임이 수술효과 미미하거나 적은 경우와
눈끝 모양이 많이 이상하거나
흉터가 심한 경우에 따라
뒤트임 재수술이나
뒤트임 복원술이 필요합니다.
V브이성형외과만의 특별한 복원술
뒤트임 효과가 있도록 눈 바깥쪽의 흰자가 더 크게 보이게 하기 위해
사선뒤트임 눈꼬리를 내리면서 뒤트임합니다.
재발을 줄이고 부작용을 최소화하기 위해
확실한 외안각고정술로 진행합니다.
부작용 최소화하기 위해 아래눈꺼풀은
연장시키지 않고 위눈꺼풀만 연장합니다.
STEP 03
앞트임 복원술(재건술)
앞트임을 하는 이유
· 눈이 커지고 싶은 목적 또는 뾰족하게
내려가 있는 눈 앞머리를 올려야 하는 경우
· 미간거리가 멀거나 눈앞이 막혀서 답답하게 보이는 경우
좀 더 시원한 눈매로 개선을 원하시는 분
· 쌍꺼풀 앞라인이 좀 더 예쁘게 보이고 싶으신 분
앞트임시 부작용
· 앞트임 후 눈 앞머리가 너무 휑하게 패여 보임
· 눈물샘의 과도한 노출로 인해 인상이 더 사나워짐
· 앞트임의 꺼진 흉으로 인해 쌍꺼풀이 아웃으로 보이는 경우
부작용을 해소하기 위한
V브이성형외과만의 특별한 복원술
VY 전진피판술과 V 피판술을 통해서 과하게 노출된 눈앞의 누호(눈물샘)를
닫아 주는 정도나 모양을 조절하면서 몽고주름의 안쪽과 바깥 피부를 재건합니다.
닫는 정도나 닫는 방법에 따라 아웃폴드를 인폴드나
중간형으로 바꾸어 줄 수 있습니다.
복원술은 주위 피부를 당겨 모으기 때문에 한동안 피부가 벌어지는 힘이
강하게 작용하여 피하 봉합을 철저히 해 주어야 합니다.
앞트임 복원술이란?
원래 모습으로 되돌아가기 보다 주위의 피부를
당겨서 끌어 모아 몽고주름을 의도적으로 만들어
과도하게 열린 눈물샘을 닫아주는 수술입니다.
STEP 04
앞트임 재수술
앞트임 재수술을 하는 이유
· 앞트임 수술을 받았으나, 여전히 눈 사이 간격이
넓거나 눈이 커진 느낌이 없을 때
· 앞트임 수술 후 몽고주름의 개선이 덜되었거나,
몽고주름이 더 심하게 생긴 경우
· 앞트임 흉터가 심한 경우
· 눈 앞구석 모양이 어색하게 바뀐 경우
· 쌍꺼풀 라인과 연결된 흉이 생기거나,
쌍꺼풀 라인의 모양이 어색하게 바뀐 경우
· 눈 앞머리 모양의 비대칭인 경우
몽고주름의
모양이나 트인 정도,
흉터의 유무나 정도에 따라
적절한 방법을 선택하여
수술을해야 합니다.
V브이성형외과만의 특별한 앞트임 재수술
앞트임 흉터가 심한 경우는 앞트임 복원술이 필요합니다.
몽고주름을 개선하려고 하는 경우, 더 틀 여유가 없는 경우는
앞트임 복원술이 필요합니다.
몽고주름이 많이 남았거나 더 틀 여유가 있을 때, 더 트면 눈이 너무 몰려 보이거나
눈앞 빨간살이 과하게 보일 경우에 미간거리는 가능한 유지하면서
몽고주름을 개선하는 소프트앞트임으로 진행합니다.
눈 재수술은 왜
V브이성형외과일까요?
많은 경험과
노하우를 보유한
눈 성형 전담 의료진
당신의 눈 수술을 집도하는 의사가
눈성형만을 전담으로 하는 성형외과 전문의인지
반드시 확인하세요.
V브이성형외과의
눈성형 전담 의료진은
개인의 모양과 피부 등을 고려해
그에 맞는 수술법을 제시합니다.
오직 눈성형만을 전문적으로 시행하기 때문에
눈성형의 연구와 학술활동에 더욱 매진할수 있으며
집중적인 눈성형의 경험으로 실력과 결과에서 탁월합니다.
눈성형을 위한 최적의 의료진 선택은
V브이성형외과입니다.
김태모 원장님
정재민 원장님
V브이성형외과의
고난이도 눈 재수술은
개인의 눈 모양과 피부 등을 고려해 재수술의 정확한 원인을 파악하고
이에 맞는 수술을 제공할 수 있는 많은 경험과 노하우를 가지고 있습니다.
눈성형을 전문적으로 시행하여 눈성형의 연구와 학술 활동에 더욱 매진하고
집중적인 눈성형의 많은 경험과 노하우로 실력과 결과에서 탁월합니다.
V브이성형외과의 눈성형 전담 의료진들은
환자분들의 눈성형의 높은 만족도와
결과를 위해 눈성형에 집중합니다.
V브이성형외과는
학술적인 연구와 노력을
멈추지 않습니다.
V브이성형외과는 눈성형의 분야가
더 많은 연구와 공부가
필요한 것을 잘 알고 있습니다.
V브이성형외과 눈성형 전담 의료진들은
눈성형술이라는 의료인을 위한
책을 집필하고 매년 빠짐없이
국내외 학회의 발표와 토론에 참여하고 있습니다.



본원에서 국제 눈성형 심포지움을 매년 개최하여
해마다 100여명의 외국 의사들이 한국의 눈성형을
배우기 위해 V브이성형외과로 방문하고 있습니다.
-
제 7회~10회 국제 동양인
눈성형 심포지움 본원 개최 및 참가정재민 원장님
올해 세번째로 브이성형외과에서
자세히보기
제 9회 대구 눈성형 심포지움이 열렸어요.
국·내외 의사분들과 관계자들께서 많이 참석해주셨어요. 
-
해외 의사들이 눈성형 기술력을
배우러 오는 병원김태모 원장님, 정재민원장님
필리핀 의사분께서 의사 연수를 위해
자세히보기
저희 V브이성형외과에 방문해주셨습니다.
V브이성형외과에 대한 설명과 의료기술에 대한 ··· 
-
눈 성형술 책 집필
정재민 원장님
V브이성형외과 눈 성형 전담 정재민 원장님의
자세히보기
오랜 눈 성형연구와 수많은 임상경험을 통해
쌓아온 노하우가 담긴 책이 출간되었습니다. 
-
국·내외 학회에서 주요 연자로 활동하는
V브이성형외과 눈성형 전담 의료진김태모 원장님
지난 2020년 11월 15일 'PRS KOREA 2020'
자세히보기
대한성형외과학회의 연례 학술대회에 브이성형외과
최원석 원장님과 김태모 원장님이 참여하였습니다. 
실력과 시스템이 없다면
이루어질 수 없는 일들입니다.
항상 학회를 찾아다니고 집필을 하고 새로운 연구를하는 것을 게을리 하지 않는
V브이성형외과의 학술적 리더 정신은 우리를 찾는 환자분들에게
더 높은 시술 가치를 제공해줄 것이라 확신합니다.
눈 재수술을 위한
환자 중심
프로세스의 확립
V브이성형외과
안전시스템
브이성형외과의 안전시스템은 대단합니다.
한국, 유럽, 미국 등에서 가장 진보된 수술 장비들만을 갖추고 있는
브이성형외과의 수술실은 환자분들이 수술 후 가장 좋은 컨디션으로
빠르고 안전하게 회복하실 수 있도록 구성되어 있습니다.
2인의
마취통증의학과
전문의 상주
또한 2인의 마취통증의학과 전문의가 상주하여
환자분이 가장 아프지 않고 편안하게
수술을 받으실 수 있도록 다양한 마취 방법을 선택하고 있습니다.
눈 재수술을 위한 V브이성형외과의 보이지 않는 노력은
환자분에게 최고의 결과와 만족을 드릴 것입니다.
-
-
마취통증의학과 전문의
서귀주
-
-
마취통증의학과 전문의
임보름
마취통증의학과 전문의 서귀주 원장 |
마취통증의학과 전문의 임보름 원장 |
마취통증의학과 전문의 서귀주 원장 |
마취통증의학과 전문의 임보름 원장 |
눈에 보이지 않는 부분도 안전을 최우선으로 생각하는
브이성형외과가 눈 재수술에서도 탁월한 이유
#안전
철저한 소독을 책임지는 중앙공급실도 전문적으로 운영되고 있으며
철저한 공기 감염 방지 관리 시스템과
모든 수술 관련 소모품 1회용 사용 등으로 감염의 위험을 없애고
더욱 안전한 수술을 위해 최선을 다 하고 있습니다.
V브이 수술 후 케어 제도
- 수술 후 책임제도
- 수술 후 관리를 어떻게 하느냐에 따라 수술 결과는 현저히 달라질 수 있습니다.
개개인에 맞는 애프터케어 시스템으로 빠른 회복을 도와드립니다.
- V애프터케어
- 멍 관리, 붓기관리 시술 및 수술 후 필요시
멍과 붓기 해소에 도움이 되는 관리 서비스를 제공합니다.

성공적인 눈 재수술은
V브이성형외과입니다.
간단해 보이는 수술이어도 숙련된 눈 성형 전담 의료진의
정확한 판단이 반드시 필요하며
개인의 특성을 전혀 고려하지 않으면
결국 또 다시 불만족스러운 결과를 낳기 쉽습니다.
































